Fractura Tibia Y Perone
Patología médicoquirúrgica, fisioterapia uab verónica ruiz roldán tema 24 fracturas diafisarias de tibia peroné introducción las fracturas de la pierna.
Fractura tibia y perone. La tibia es el nombre que recibe el hueso más largo de la pierna Su extremo superior presenta dos eminencias óseas que se articulan con los cóndilos femorales que encajan conformando. Dr yo me hice una fractura expuesta de tibia y perone y tobillo en 8/17 2 operaciones en una semana,apoyé a los dos meses caminando con andador después con baston canadiense hasta mayo/18 y ahora rengueo y me arde el enpeine del pie en algunas partes Me pusieron 16 clavos y 3 laminas de acero quirurgico. Fractura de tibia con peroné intacto – Si la fractura de la tibia no está desplazada, el tratamiento consiste en yeso inguinopédico con carga precoz Es necesario un estricto seguimiento para detectar cualquier tendencia a la desviación en varo.
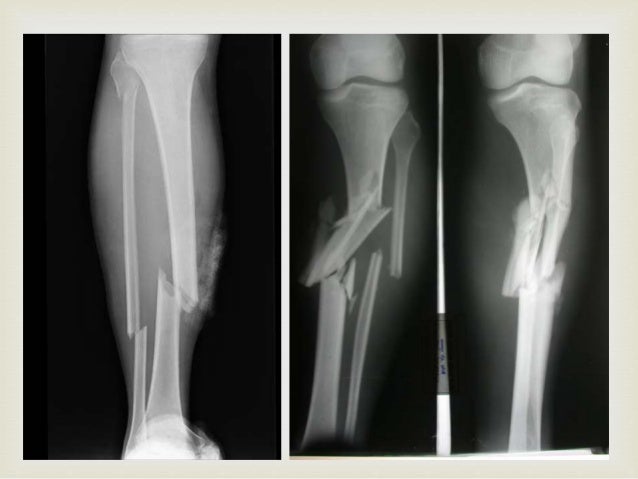
Fractura tibia y Perone 417 envíos / 0 nuevos Inicie sesión o regístrese para comentar Último envío Sáb, 22/11/08 1909 #1 pato Offline Registrado 22/11/08 1904 Fractura tibia y Perone Hola a todos Por lo que veo compartimos las mismas inquietudes!. La tibia se fractura en el tercio medio con el inferior, y se asocia con fractura de peroné en el tercio superior CONMINUTA Tiene muchos fragmentos pequeños Se produce cuando la pierna recibe un fuerte impacto estando apoyado el pie. Cuando hay una fractura de tibia y peroné que es lo suficientemente fuerte como para romper los huesos pero no lo suficientemente fuerte como para que los huesos penetren fuera de la piel es lo que llamamos fractura cerrada de tibia o fíbula En la mayoría de los casos de fractura de la parte inferior de las piernas, tanto la tibia como el.
Horas previas a la intervención quirúrgica. CLÍNICA Y TRATAMIENTO Las fracturas pueden presentar complicaciones, por una parte derivadas del propio accidente, y de otra, como verdaderas complicaciones producto del tratamiento Tras el accidente, una fractura puede traer las siguientes principales complicaciones Embolia grasa Síndrome compartamental. Hoy recurrimos a los servicios médicos del Real Madrid (Sanitas) para hablar de la fractura de tibia y peroné, una de las lesiones más temidas por los futbolistas y los aficionados al deporte, sobre todo, por la espectacularidad y el tiempo de recuperación tan amplio que sufre el jugador Estas lesiones tan traumáticas están causadas principalmente "por entradas muy duras en los.
Causas de una fractura en la tibia y peroné La causa principal por la que una persona puede sufrir una fractura en la tibia y peroné es debida a un impacto o fuerza directa en la pierna Es una lesión traumática debido al tiempo que requiere la recuperación. El peroné es un hueso delgado y poco pesado, cuya función principal es la de servir como un punto de unión para los músculos (mira Referencias 1) El tratamiento de una fractura del peroné dependerá de cierto tipo de factores, incluyendo la parte del peroné que esté fracturada y la severidad. La fractura, como habíamos dicho más arriba, puede producirse en la tibia, en el peroné o en ambos huesos, y puede ser causada por un golpe, una caída, por un mecanismo de rotación forzada de la articulación con la rodilla o por la repetición de contracciones de los músculos de la pierna, también llamadas fracturas por estrés Es una lesión que se da muy frecuentemente en el ámbito.
Fractura de tibia y peroné Las roturas de tibia y peroné generalmente se producen por un fuerte impacto o torsión ¿Qué es la tibia y qué es el peroné?. Fractura de tibia con peroné intacto – Si la fractura de la tibia no está desplazada, el tratamiento consiste en yeso inguinopédico con carga precoz Es necesario un estricto seguimiento para detectar cualquier tendencia a la desviación en varo. ¿Qué es una fractura de tibia y/o peroné?.
Fractura de tibia y peroné La tibia y el peroné son los huesos que le dan estructura a la extremiedad inferior de la pierna, entre la rodilla y el tobillo El peroné se sitúa de forma paralela a la tibia y es más delgado que ésta y a diferencia de la tibia, el peroné no soporta peso y no foma parte en la articulación de la rodilla. Las fracturas graves, dislocaciones o desplazamientos de esta zona a menudo requieren cirugía para insertar placas y / o tornillos Es muy importante que consultes a un médico si sospechas una fractura en esta área Las fracturas por estrés se tratan con reposo durante 14 días, y se sugiere el uso de muletas para reducir el dolor al caminar. ¿Qué es una fractura de tibia y peroné?.
El caso ideal, de una fractura de tibia en el tercio medio, sin desplazar, con 1 sólo trazo de fractura, en 1 paciente joven, tratado con yeso, tardaría 15 días en apoyar el pie en el suelo, y más o menos entre mes y medio y dos meses en consolidar Esa misma fractura, tratada con clavo endomedular, apoyaría el pie en el postoperatorio. Las fracturas abiertas de tibia (peroné) tipo IIIBIIIC de Gustilo están causadas por traumatismos de alta energía (precipitaciones, accidentes de tráfico, armas de fuego), y producen pérdida crítica de partes blandas y periostio (cobertura de tibia especialmente vulnerable), pérdida de hueso y extensa devascularización de la zona afectada (2). La tibia y el peroné forman parte de los huesos de la pierna, encargados de soportar el peso del cuerpo Generalmente suelen sufrir fracturas a nivel medial, de acuerdo al tipo de fractura puede ser inmovilizada con una escayola o ser intervenida quirúrgicamente Tiempo de recuperación de la Fractura de Tibia y PeronéLas fracturas de tibia y peroné suelen recuperarse luego de.
Me fracture la tibia y el perone hace 2. Ante la posibilidad de fractura de tibia se recomienda investigar la presencia de dolor, deformidad, aumento de volumen y pérdida de la función de la extremidad afectada S2 Fractura de la Diáfisis de la Tibia GPC Diagnóstico y Tratamiento de Fractura de la Diáfisis de Tibia ISBN. Los pacientes con fractura diafisaria de tibia y per oné presentan dolor y deformidad y se observará un edema de partes blandas en la zona de la I Miranda Gómez, E Sánchez Alepuz, R Cal.
Proceso completo de rehabilitacion de una fractura de tibia y perone, hasta poder caminar y el hueso haya sanado#TeamWorker. 70% son de tibia aisladas Son fracturas espiroídeas u oblicuas FRACTURAS DIAFISIARIAS DE TIBIA Y PERONE 29 angulada tercio medio 30 31 *En niños Si peroné integro Se previene el acortamiento No se desplaza 60% presentará Varo en las primeras 2 semanas Fracturas diafisiarias de Tibia 32 Valgo tras fractura de tibia 33. Horas previas a la intervención quirúrgica.
CLÍNICA Y TRATAMIENTO Las fracturas pueden presentar complicaciones, por una parte derivadas del propio accidente, y de otra, como verdaderas complicaciones producto del tratamiento Tras el accidente, una fractura puede traer las siguientes principales complicaciones Embolia grasa Síndrome compartamental. Patología médicoquirúrgica, fisioterapia uab verónica ruiz roldán tema 24 fracturas diafisarias de tibia peroné introducción las fracturas de la pierna. Fractura del volante paraguayo en el partido por Copa Sudamericana 10 en el que Deportes Tolima de Colombia venció a Oriente Petrolero de Bolivia 2x0 El ár.
Las fractura abiertas tipo IIIBIIIC de tibia, con o sin peroné, suponen el grado más severo de la clasificación de Gustilo (1) Las fracturas grado IIIB se caracterizan por una interrupción de la vascularización tibial y un daño severo de las partes blandas circundantes, con una alta tasa de complicaciones. CIE10 código S2 para Fractura de la diáfisis de la tibia definiciones en línea español. La tibia se fractura en el tercio medio con el inferior, y se asocia con fractura de peroné en el tercio superior CONMINUTA Tiene muchos fragmentos pequeños Se produce cuando la pierna recibe un fuerte impacto estando apoyado el pie.
Fractura tibia y Perone;. La tibia y el peroné son los dos huesos de la parte inferior de su pierna La tibia es la espinilla Es el hueso más grande El peroné es el hueso más pequeño que se encuentra junto a la tibia La parte superior de la tibia forma parte de la articulación de la rodilla. Tx fracturas cerradas estables se tratan cpn yeso muslopedio de 4 a 6 semanas en px politraumatizados enclavado intramedular o fijacion externa o inerna las fracturas de tibia y perone son de consolidacion tardia en 30% tienden en deformacion en varo 24 ejercicio de amplitud y movimiento fisioterapia 25.
Hola el 10 de marzo del iba en al moto con mi marido y nos choco un remis gracias a dios a mi marido no le paso nada a mi me agarro de costado Fractura de tibia y perone fisura de rodilla y hundimiento del plato Desgraciadamente el seguro no se ah echo cargo de nada No tengomutual y la operacion me sale mucha plata la cualno puedo pagar. CLÍNICA Y TRATAMIENTO Las fracturas pueden presentar complicaciones, por una parte derivadas del propio accidente, y de otra, como verdaderas complicaciones producto del tratamiento Tras el accidente, una fractura puede traer las siguientes principales complicaciones Embolia grasa Síndrome compartamental. Tx fracturas cerradas estables se tratan cpn yeso muslopedio de 4 a 6 semanas en px politraumatizados enclavado intramedular o fijacion externa o inerna las fracturas de tibia y perone son de consolidacion tardia en 30% tienden en deformacion en varo 24 ejercicio de amplitud y movimiento fisioterapia 25.
En su vida deportiva un corredor se enfrentará a unas cuantas lesionesLa fractura de peroné es una bastante grave, pero que no es del todo inusual Este tipo de lesión es bastante habitual entre los aficionados al trail running, especialmente entre los que se inician en esta disciplina Aprender más sobre el peroné Una deficiente musculatura o preparación unido a correr por terrenos. Conecta la canilla con el pie, transfiere y distribuye el peso corporal al tobillo y también forma una articulación con la tibia y el astrágalo Una fractura de peroné es bastante frecuente y, por lo general, es causada por un impacto directo en el hueso, el uso excesivo, las actividades repetitivas y los ejercicios con carga de peso que. Fractura conminuta de tibia y peroné Tratamiento de la fractura de tibia y peroné Inicialmente se aconseja realizar un tratamiento mediante inmovilización de la pierna para estabilizar la fractura En el caso de fracturas cerradas se aconseja una férula de yeso.
La fractura de peroné es una fractura ósea que afecta al hueso homónimo situado en la pierna Aunque puede presentarse de manera aislada, frecuentemente se asocia a fractura de tibiaSuele deberse a traumatismos importantes como caídas de altura, accidentes de tráfico o esguince de tobillo, en muchas ocasiones la fractura se produce durante la realización de la práctica deportiva. ¿Cómo se produce una fractura de tibia y peroné?. Cuándo puede comenzar la rehabilitación Inmediatamente después de una lesión en la tibia o el peroné, el doctor querrá que tomes las cosas con calma por el tiempo suficiente para que tu hueso comience a curarse, lo cual puede tomar de seis a ocho semanasSi la fractura requirió cirugía, incluso pueden pasar 12 semanas hasta que tu doctor te haga comenzar un programa de rehabilitación.
Las fracturas transversales y las fracturas del peroné se deben a impactos de alta energía, entonces el tratamiento sin cirugía podría representar una contraindicación Objetivos del tratamiento de la fractura de la tibia El tratamiento tiene el objetivo de soldar el hueso durante un tiempo razonable. Arquero Muslera reaparece tras superar fractura de tibia y peroné m El arquero internacional uruguayo Fernando Muslera vuelve hoy al césped con su equipo, el Galatasaray de Estambul, tras seis meses de baja por una fractura de tibia y peroné sufrida en junio pasado, anunció el club turco. El peroné también se ha conocido a la fractura en los deportes que implican torsión, como el baloncesto o el esquí Una buena sesión de calentamiento y la fuerza se mantiene y la flexibilidad en las piernas son los mejores medios de protección contra las fracturas de peroné.
En su vida deportiva un corredor se enfrentará a unas cuantas lesionesLa fractura de peroné es una bastante grave, pero que no es del todo inusual Este tipo de lesión es bastante habitual entre los aficionados al trail running, especialmente entre los que se inician en esta disciplina Aprender más sobre el peroné Una deficiente musculatura o preparación unido a correr por terrenos. Fractura de peroné tratamiento El tratamiento de cualquier fractura puede variar dependiendo del tipo de fractura Si es sólo el que se fractura el peroné, y no la tibia, tratamiento en el hogar y la atención puede ser suficiente para la curación para el progreso. El caso ideal, de una fractura de tibia en el tercio medio, sin desplazar, con 1 sólo trazo de fractura, en 1 paciente joven, tratado con yeso, tardaría 15 días en apoyar el pie en el suelo, y más o menos entre mes y medio y dos meses en consolidar Esa misma fractura, tratada con clavo endomedular, apoyaría el pie en el postoperatorio.
El peroné y la tibia se unen en las articulaciones de la rodilla y el tobillo Los dos huesos ayudan a estabilizar y soportar los músculos del tobillo y la parte inferior de las piernas Una fractura de peroné se utiliza para describir una ruptura en el hueso del peroné Tipos y causas de las fracturas de peroné. Patología médicoquirúrgica, fisioterapia uab verónica ruiz roldán tema 24 fracturas diafisarias de tibia peroné introducción las fracturas de la pierna. Aunque cada uno de estos huesos puede fracturarse por separado, normalmente la rotura es una lesión que se produce de forma conjunta La mayor parte de las roturas implican a la parte proximal del hueso (parte del hueso próximo a la rodilla) o a la parte distal (parte del hueso cerca del tobillo).
Una Fractura de peroné y fractura de tibia puede ser causado por fuerza directa e indirecta en la parte inferior de la pierna Si ambos huesos se rompen al mismo tiempo, también se llama fractura de la parte inferior de la pierna La hinchazón, el dolor y los hematomas en el área afectada indican rotura. Perone Entre la tibia y el peroné, el peroné es el hueso lateral de la pierna y la estructura esquelética menos voluminosa curiosidad En el sentido en que el término "pierna" indica el tracto anatómico entre la cadera y el tobillo (y no, como en realidad sería más correcto, la parte del cuerpo humano entre la rodilla y el tobillo), la expresión Los "huesos de las piernas" incluyen. Paciente de 49 años de edad que sufrió el pasado 16 de Agosto de 13 un traumatismo en su pierna izquierda, ocasionándole fractura distal de tibia y peroné (Fractura de Maisonneuve)Es intervenido quirúrgicamente el 22 de Agosto mediante la colocación de tres tornillos transindesmales Se le retiran los puntos el día 10 de Septiembre VALORACIÓN INICIAL.
Las fracturas abiertas diafisarias de ti bia y peroné se consideran una ur gencia quirúrgica, por lo que se debe gestionar la intervención quirúrgica de manera urgente En caso de no ser. Descripción Es un proceso doloroso originado por una fractura en la tibia, producida por sobrecarga de entreno, los impactos repetidos, producen micro traumatismos en el hueso o en las inserciones tendinosas o los movimientos repetidos de músculos y tendones pueden provocar periostitis por fricción de los mismos en el hueso, la reacción inflamatoria del periostio puede desencadenar alteraciones en la, matriz ósea próxima alterando su composición y debilitando la resistencia tibial. El peroné ayuda a estabilizar y apoyar los músculos de la pierna, el cuerpo, el tobillo y la pierna Se corre paralela a la tibia, un hueso más grande que también forma la espinilla, y se une el tobillo y articulación de la rodilla El peroné lleva solamente el 17 por ciento del peso del cuerpo Un peroné de la fractura sucede cuando se aplica más presión sobre el hueso de la que.
Fracturas de tibia y peroné, fisioterapia 1 ICB, Lic en Terapia Física Rehabilitación Ortopédica Edna López Coronado VI 2 Tibia y peroné Huesos de la pierna Tibia, columna vertical que soporta peso A través de la evolución y el desarrollo, se han pronado permanentemente para acomodar la bipedestación 3. Fractura de Tibia y peroné Related Videos 007 Fractura de Tibia Ortopedia y Traumatologia Dr Gabriel de Leon O views · January 12 025 Fractura de Platillos tibiales Ortopedia y Traumatologia Dr Gabriel de Leon O 81 views · January 5 014 Fractura de radio distal. Proceso de recuperacion, desde mi accidente con fractura de tibia y perone hasta rehabilitacion completa.

Fractura De Steve Zakuani De Tibia Y Perone Video Cuida Tu Salud Con Diane Perez

Fractura De Tibia Y Perone Clinica Martin Gomez Traumatologos
Cirugias De Perone Y Tibia
Fractura Tibia Y Perone のギャラリー

Fractura De Tibia Y Perone Abogados Accidente Sevilla

Indemnizacion Por Fractura De Tibia Y Perone En Accidente De Trafico

Fractura De Rotula Meseta Tibial Y Fractura De Tibia Juan Arnal Traumatologo En Madrid
Www Avepa Org Pdf Caso3 Pdf

Amazon Com Vastago Pantorrilla Apoyo Ferula Nocturna Tibia Y Perone Fractura Ortesis Externo Correa De Fijacion Ajustable Wrap Manga Cinturon Protector Health Personal Care

Manejo De La Pseudoartrosis Y Consolidacion Viciosa Del Perone Fondoscience

Fisiovital Fisioterapia Barcelona Fractura De Astragalo Y Osteotomia De Tibia Y Perone

Jack Miller Se Fractura Tibia Y Perone Haciendo Motocross Super7moto

Radiografia Fractura De La Tibia Y Perone Buy This Stock Photo And Explore Similar Images At Adobe Stock Adobe Stock

Fractura De Tibia
Q Tbn And9gcs0fbutnvwfmq3d8 Vwqlcm0ghdd4dxnulksvlhazdlcvpr2k Usqp Cau
Fracturas Infantiles Mas Frecuentes Esguinces Y Epifisiolisis
Fractura De Tibia Y Perone Con Afe En Fracturas Del Valle Ortopedia Y Traumatologia Veterinaria Facebook

Fractura Tibia Y Perone Rehabilitacion Completa Youtube
Mostrar Fractura Tibia Y Perone Izquierdo Lateral Radiografia De Pierna Fractura Con Implante De Fijacion Externa Foto De Stock Y Mas Banco De Imagenes De Acero Istock

Tratamiento Y Recuperacion De La Fractura De Tibia Y Perone Cirugia Pie Y Tobillo Dr Ballester

Tratamiento Y Recuperacion De La Fractura De Tibia Y Perone Cirugia Pie Y Tobillo Dr Ballester

Fractura De Toddler Reporte De Un Caso Y Revision De La Literatura
Casos Clinicos De Veterinaria En Pequenos Animales Fractura Diafisaria Cerrada De Tibia Y Perone

Escalofriante Fractura De Gimnasta Frances Fotos

Fractura Hospital De Animales Zoe

Fractura Tibia Y Perone

ᐈ Fractura Tibia Imagenes De Stock Fotos Fractura De Tibia Descargar En Depositphotos

Dyhqq Wadenstutze Nachtschiene Tibia Und Fibula Frakturorthese Extern Verstellbarer Fixierungsgurt Wickelhulse Gurtschutz M Amazon De Sport Freizeit

Kynet Medicina Del Deporte

Fractura Tibai Y Perone

Facultad De Enfermeria Caso Clinico En Un Paciente Con Fractura De Tibia Perone Servicio Traumatologia Externado Interna Kelly Paola Meza Villanueva Ppt Descargar

Imagen De Rayos X De La Pierna Fractura Tibia Y Perone Con Placa De Implante Y El Tornillo Fotos Retratos Imagenes Y Fotografia De Archivo Libres De Derecho Image

Confirman Fractura De Tibia Y Perone A Fernando Muslera

Radiografias Simples De Una Fractura De Diafisaria De Tibia Download Scientific Diagram

Caso Clinico Fractura De Maisonneuve Tibia Y Perone Fase I Rehabilitacion Premium Madrid

Fracturas De Tibia Y Perone

Fracturas De Tobillo Y Pie Maleolos Pilon Tibial Tarso Metatarso Y Dedos

El Frances Samir Ait Said Fue Operado De Fractura De Tibia Y Perone Los Tiempos

Drole Se Fractura La Tibia Y El Perone Cinco Meses Fuera As Com

Caso Clinico Fractura Transversal Minimamente Desplazada De Tercio Medio Distal De Tibia Y Perone Izquierdos Al Mismo Nivel Pfizer Para Profesionales

Fractura De Tercio Medio De Tibia Y Perone Derechos Download Scientific Diagram

Fractura Tibia Y Perone De 2 Meses De Evolucion Tratada Por Huesero Vegetables Celery

Gjwq3wbv7ijjhm

Fractura De Tibia Wikipedia La Enciclopedia Libre

Da Escalofrios Con Solo Verlo Le Rompieron La Tibia Y El Perone Besoccer

Fractura De Tibia Y Perone Rehabilitacion Ejercicios Y Tiempo De Recuperacion Youtube

Casos Clinicos Cirugia Vetpets

Motogp Miller Volvera En Los Test De Phillip Island Tras Su Fractura De Tibia Y Perone Marca Com

Fisioterapia Rehabilitacion Fractura Tibia Y Perone Tobillo
Fractura Diafisaria De Tibia Y Perone Traumatologia Y Ortopedia Dr Alberto Romo Lopez Facebook

Radiografia De Cine Eje Espectaculo Fractura De Tibia Y Perone De Insercion De Placa Y Tornillo Para El Hueso De La Pierna Fix Fotos Retratos Imagenes Y Fotografia De Archivo Libres De

Heridas

Fractura De Toddler Reporte De Un Caso Y Revision De La Literatura

Escalofriante Muslera Sufre Una Fractura De Tibia Y Perone

Diaz De Cerio Sufre Una Fractura De Tibia Y Perone As Com

Instituts Guirado Tc De Tibia Y Perone Para Estudio De Consolidacion De Fractura Ct Tac 3d Diagnostico Traumatologia Fractura Radiologia Radiographer Tsid Imagenparaeldiagnostico T Co Ibkpelkgmy

Eje De La Fractura De La Tibia Y Del Perone Imagen De Archivo Imagen De Tibia Perone

Tratamiento Y Recuperacion De La Fractura De Tibia Y Perone Cirugia Pie Y Tobillo Dr Ballester
Buzz Estremecedora Lesion Fractura De Tibia Y Perone Marca Com

Fractura De Tibia Y Perone Camde

Indemnizacion Por Fractura De Tibia Y Perone Creditos Y Prestamos
Q Tbn And9gcth9ynyrozulkadke3mhusmurrqsfk70gr3iaefnv4or1b0pixj Usqp Cau

Fractura De La Tibia Tratamiento Cirugia Y Tiempo De Recuperacion

Pierna Derecha Fracturas En La Tibia Y El Perone Fotografia De Stock Alamy
Fracturas De Tibia Y Perone Rodilla Lesion

Reclamos Por Fracturas De Tibia Y Perone En Florida

Cuanto Paga La Art Por Fractura De Tibia O Perone Marin Pistachia

Se Resbala Con El Hielo Y Se Fractura La Tibia Y El Perone

Fractura De Perone Fisioterapia Eva Tello Cadarso

Fractura Tibia Y Perone Secuelas Fractura De Huesos Yeso Fractura Pie Tiempo Recuperacion Youtube

Asi Quedo La Pierna De Paul George Tras La Fractura De Tibia Y Perone La Gaceta Tucuman

Jugador De Trail Blazers Sufre Fractura De Tibia Y Perone En Pleno Partido La Tercera

Borja Ropero V Twitter Amiga D Mi Hermana Fractura Tibia Y Perone Tras 2 Meses Post Operacion El Medico Le Dice No Hace Falta Rehabilitacion Eso Recupera Solo T Co Zrzqdfgofa

Cuanto Paga La Art Por Fractura De Tibia O Perone Marin Pistachia

Fractura Tibial Bilateral Por Fatiga En Mujer No Deportista A Proposito De Un Caso Medicina De Familia Semergen

Blbvmtcrz9lymm

Fractura De Perone De No Poder Apoyar El Pie Hasta Volver A Rendir Al Maximo

Galeria Categoria Tobillo Pie Imagen Fractura De Tibia Y Perone

Mostrar Fractura De Tibia Y Perone Imagen De Rayos X De Fractura De Pierna Con Fijacion Externa Al Implante Foto Premium

Radiografia Fractura De La Tibia Y Perone Buy This Stock Photo And Explore Similar Images At Adobe Stock Adobe Stock

Indemnizacion Por Fractura De Tibia Y Perone En Accidente De Trafico

O R T O C R I T I C A Fractura De Tibia Y Perone

27 Fractura De Tibia Y Perone

Pierna Tibia Y Perone Fotos Libres De Derechos Y Gratuitas De Dreamstime

Tratamiento De Fracturas Abiertas De Tibia Grado Iiib Iiic De Gustilo Con Colgajos Libres Microvascularizados

Fractura De Tibia Sintomas Y Tratamiento Siiora Cl
Fractura Por Sobrecarga Cancer Care Of Western New York

La Espeluznante Fractura De Tibia Y Perone Que Sufrio Capitan De Irlanda En Clasificatorias Europeas Emol Com

Fractura Conminuta De Tibia Y Perone Con Cuerpos Extranos Novelty Lamp Lamp Lava Lamp

Fracturas Multiples De La Tibia A Proposito De Un Caso

Antes Fractura Compleja De Tibia Pilon Y Perone Distal Dr Juan Carlos Gutierrez

Fracturas Infantiles Mas Frecuentes Esguinces Y Epifisiolisis

Reclamos Por Fracturas De Tibia Y Perone En Florida
Tratamiento De Fracturas Diafisarias Cerradas De Tibia Con Osteosintesis Interna E Implantes De Hidroxiapatita Coralina Hap 0

Radiografia Fractura De La Tibia Y Perone Buy This Stock Photo And Explore Similar Images At Adobe Stock Adobe Stock
Www Studocu Com Ca Es Document Universitat Autonoma De Barcelona Patologia Medicoquirurgica Apunts Fracturas Tibia Y Perone View

Fracturas De Tibia Y Perone
3

Fractura De Tibia Y Perone Clinica Martin Gomez Traumatologos

Fractura De Tibia Y Perone Fisiosalud
Q Tbn And9gcrdh8fvecmhcrkvdbxsxiimtzl7ujtucs1yglush Qg5chqx4y7 Usqp Cau

Fractura De Tibia Y Perone Youtube
Tratamiento De Fracturas Diafisarias Cerradas De Tibia Con Osteosintesis Interna E Implantes De Hidroxiapatita Coralina Hap 0

ᐈ Fractura Tibia Imagenes De Stock Fotos Fractura De Tibia Descargar En Depositphotos